Cabinet dentaire du docteur Marie-Laure ASQUINAZI
Docteur en Chirurgie Dentaire à Aubenas (07)
ACCUEIL
LE CABINET
PLAN D'ACCÈS
URGENCES
FICHES PATIENTS
VIDÉOS
QUESTIONNAIRE PRE-RDV
CONTACT
Cabinet dentaire du docteur Marie-Laure ASQUINAZI
Docteur en Chirurgie Dentaire à Aubenas (07)
1 rue Georges Couderc
07200
Aubenas
+33 4 75 36 24 02
mlasqui@outlook.fr
ACCUEIL
LE CABINET
PLAN D'ACCÈS
URGENCES
FICHES PATIENTS
VIDÉOS
QUESTIONNAIRE PRE-RDV
CONTACT
CAS CLINIQUE
Fiches conseils
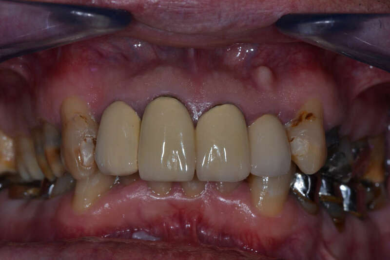
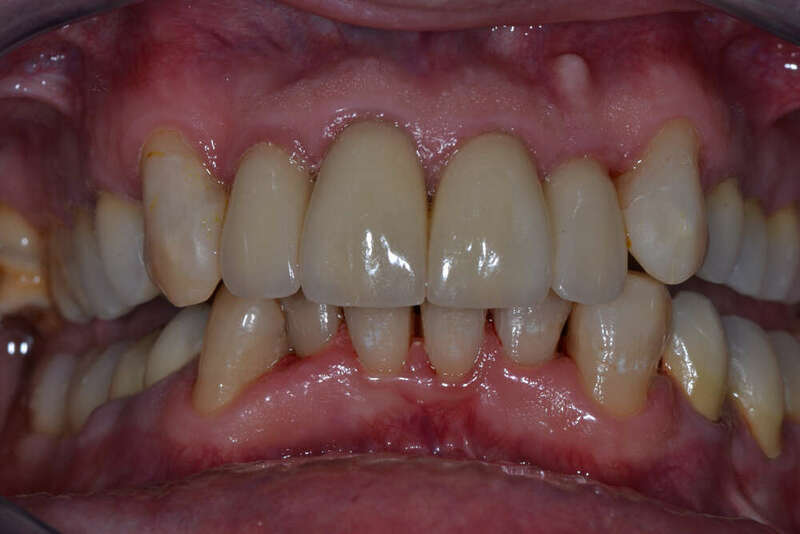
Réhabilitation complète - couronnes multiples
Avant
Après
Partager
Twitter
Partager
Partager
Envoyer
Copier
Cabinet dentaire du docteur Marie-Laure ASQUINAZI
1 rue Georges Couderc
07200
Aubenas
+33 4 75 36 24 02
mlasqui@outlook.fr
Pour en savoir plus
Conditions Générales Utilisation
Politique de confidentialité et charte cookie
Mentions légales
Charte déontologique
Ordre national
Annuaires chirurgiens dentistes
CABINET DENTAIRE DU DOCTEUR MARIE-LAURE ASQUINAZI
1 rue Georges Couderc
07200
Aubenas
+33 4 75 36 24 02
mlasqui@outlook.fr
Recherche
Création par
Connexion