Cabinet dentaire du docteur Marie-Laure ASQUINAZI
Docteur en Chirurgie Dentaire à Aubenas (07)
Cabinet dentaire du docteur Marie-Laure ASQUINAZI
Docteur en Chirurgie Dentaire à Aubenas (07)

1 rue Georges Couderc
07200 Aubenas

Blog - Page 33

Orthodontie : idées reçues, idées revues

Orthodontie : idées reçues, idées revues

Le comblement de sinus par abord crestal

Le comblement de sinus par abord crestal

Appareil herbst

Appareil herbst

Traitement multi-attaches

Traitement multi-attaches

La chirurgie orthognatique – rétrognathie maxillaire

La chirurgie orthognatique – rétrognathie maxillaire

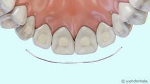
Fil de contention

Fil de contention

Affichage des articles 193-198 sur 258

Création par Webdentiste

Connexion